大津クオーレ歯科クリニック

マウスピース矯正専門サイト

077-578-4618
24時間ネット予約
LINE相談

MENU

キレイは歯並びから。インビザラインGo矯正なら、デンタルローンで5,000円~。大津クオーレ歯科クリニック *
*

こんな歯並びの
悩みありませんか? *

  • 歯の矯正はしたいけど、
    他の人の目が気になる
  • 歯の矯正はしたいけど、
    費用が気になる
  • できるだけ短期間で
    歯の矯正をしたい
  • *
*
*

当医院が導入している

マウスピース矯正
(インビザラインGo)
なら、

解決できる
可能性があります。

*
*

インビザラインGoによる
歯の矯正治療のメリット

*
*

透明で目立たない

透明な矯正装置(オーダーメイドのマウスピース型)です。
そのため、矯正治療中も周りの方に気づかれることがほとんどありません。
また、結婚式などの特別な行事がある場合は、取り外すことも可能です。

*
*

取り外しできる装置なので
治療前後で生活リズムが
変わらない

従来のワイヤー矯正(ブラケット矯正)では、

  • 食べ物が装置に挟まる
  • 硬いものが食べにくい
  • 装置の破損リスクがある

など、食事のたびに不便を感じる方も少なくありませんでした。
インビザラインGoは、取り外し式のマウスピース型矯正装置です。
食事のときは装置を外すことができるため、普段通りの食事が可能です。矯正中でも、好きなものを楽しめるのは大きな魅力です。
また、ワイヤー矯正では歯と装置のすき間に汚れが溜まりやすく、虫歯や歯周病のリスクが高まることもあります。その点、インビザラインGoなら歯みがきの際も装置を外せるため、口腔内を清潔に保ちやすいのが特長です。

*
*

治療期間短い

一般的な全体矯正では、治療期間が2〜4年かかるケースもありますが、インビザラインGoは、主に前歯から小臼歯(前から5番目の歯)といった動かしやすくズレの少ない範囲に焦点を当てて治療を行うため、比較的短期間での治療完了が期待できます。

前歯や小臼歯は、歯の根(歯根)が1〜2本と比較的少ないため、動かしやすい部位です。一方で、大臼歯(前から6番目・7番目の歯)は2〜4本の歯根を持ち、周囲の骨との結びつきも強いため、移動には時間がかかり、治療技術や経験の影響も大きくなります。 そのため、適応範囲を見極めたうえで効率的に治療を進められるのが、インビザラインGoの大きな特徴といえます。
当院では、平均7〜8ヶ月ほどで治療が終了するケースも多く、
「できるだけ早く歯並びを整えたい」「結婚式や就職活動に間に合わせたい」といったご希望にも対応しやすい治療方法です。
※症例によって適応範囲や治療期間は異なります。詳しくはご相談ください。

* *
*

気になりやすい部分のみの
矯正(部分矯正)だから
低価格

一般的な全体矯正は、80~120万円ほどかかる場合もありますが、当院で導入しているインビザラインGoは、気になりやすい前歯から小臼歯(前から5番目の歯)に特化した部分矯正のため、費用は約半分の40~60万円程度に抑えられます。

さらに、デンタルローンをご利用いただくと月々5,000円程度※からスタートできるため、「矯正に興味はあるけれど、費用が心配…」という方も、無理なく治療を始めていただけます。
※最大84回払いを想定した場合

*
*

痛み少ない

ワイヤー矯正(ブラケット矯正)では、1カ月に約1mmの力を一度にかけるため、歯や歯ぐきに強い負担がかかり、痛みを感じやすいと言われています。
一方、インビザラインGoは、1週間ごとにマウスピースを交換しながら、0.25mmずつ歯を動かしていく設計です。歯にかかる力が小さく、比較的痛みが少ないのが特長です。
また、ワイヤー矯正では金属の装置が唇や頬の粘膜に当たり、口内炎ができたり、口の中が痛むこともありますが、インビザラインGoは滑らかなマウスピースなので、お口の中を傷つけにくく、快適に過ごせます。
スポーツや会話のときも、装置を気にせず安心して日常生活を楽しめます。

*
*

歯の移動予測
事前にできる

インビザラインGoでは、専用のシミュレーションソフトを使って、治療開始から完了までの歯の動きを画像や動画で視覚的に確認することができます。
治療を始める前に、「どのように歯が動き、どんな仕上がりになるのか」を具体的にイメージできるため、不安を軽減した状態で治療に進めます。

*
*

前歯・小臼歯だけでなく
第一大臼歯(前から6番目の歯)まで対応できる
インビザラインGo Plus

従来のインビザラインGoは、前歯を中心とした部分矯正に特化していましたが、
「インビザラインGo Plus」では、第一大臼歯(前から6番目の歯)まで矯正の対象を広げることができます。

これにより、「前歯だけでなくもう少し奥の歯も気になる」「噛み合わせにも少し影響が出てきたかも」といった方にも、より適した治療プランを提案できます。見た目の改善だけでなく、バランスの良い噛み合わせを目指したい方にもおすすめの選択肢です。

*

インビザラインGo
(インビザラインGo Plusを含む)による
歯の矯正治療のデメリット

*

適応範囲が限られる

前歯~前から数えて5番目(または6番目)の歯までに限られた矯正です。
全ての方に適応できる矯正治療ではありません。精密な検査をした上で適応可能かを判断させて頂きます。

*
*

自己管理必要

1日の装着時間が20時間以上を必要とします。
この装着時間を守れない場合は効果が著しく低下します。
患者様ご自身の協力が必須の矯正治療となります。

*
*

経験豊富な症例数

滋賀県大津市エリアでいち早くインビザラインGo(インビザラインGo Plusを含む)を導入して以来、数多くのマウスピース矯正治療を行ってきました。
その実績が評価され、矯正装置の製造元であるアライン・テクノロジー社より、症例数の多い歯科医院として認定を受けています。2024年・2025年は2年連続で症例数No.1(アライン・テクノロジー社調べ)となり、インビザラインGoにおいて滋賀県内でもトップクラスの実績を有しています。

*
*

先端医療機器の導入 (光学式口腔内スキャナー iTero®)

当院では、マウスピース矯正の精度を高めるために、光学式口腔内スキャナー「iTero®(アイテロ)」を導入しています。
これは、従来のような印象材(寒天やシリコン)を使わず、歯並びを3次元データとしてデジタルスキャンできる先進的な装置です。

すべての歯科医院に導入されているわけではなく、限られた医院でのみ使用されています。

*

精密な歯型採取できる

*

iTero®を使うことで、従来よりも高精度な歯型データを取得できます。

このデータをもとに、より精密なマウスピース(アライナー)を製作できるため、治療の質を高めることが可能になります。

型取り時の不快感がない

*

従来の型取りでは、長時間口を開けて材料を噛む必要があり、不快感や嘔吐反射を感じる方も少なくありません。

一方でiTero®は、無味・無臭のスキャナーで10分ほどのスキャンを行うだけなので、型取りに伴う不快感がほとんどなく、快適に検査を受けていただけます。

まずは無料カウンセリング

24時間対応のネット予約はこちら

*

LINE矯正相談はこちら

*

お電話での予約はこちら

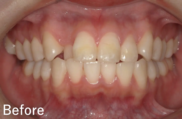
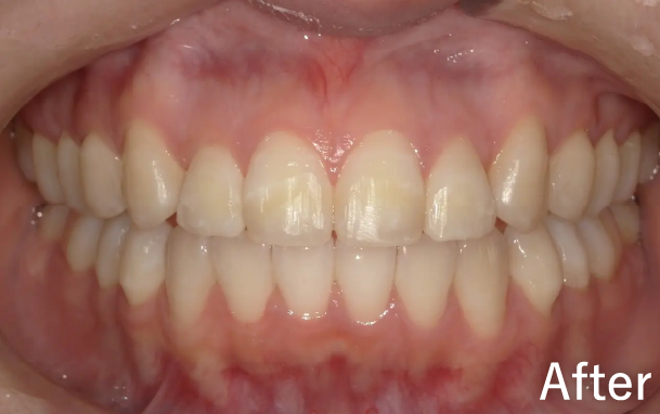
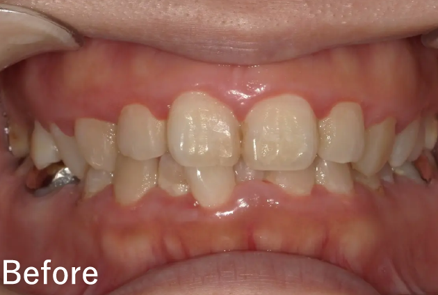
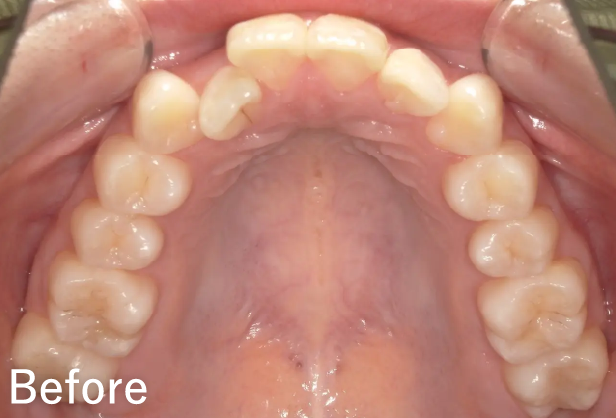
Case1

インビザライン 全顎治療システム

Before
After
*
*
*
*
*
*
患者情報
20代女性
治療期間
約12か月
治療費
880,000円(税込)
治療内容
マウスピース矯正(インビザラインフル)にて上下顎矯正治療を行っています。
リスクと副作用
マウスピースをしっかりつけないと、計画通りの結果にならないことがあります。
治療後リテーナーをつけないと、後戻りを起こします。

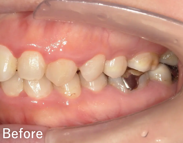
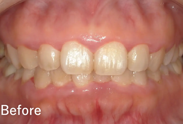
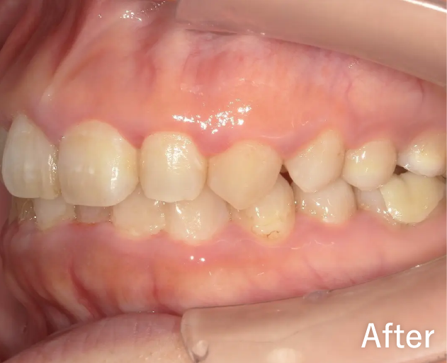
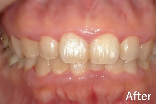
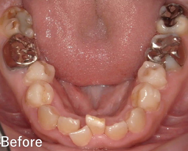
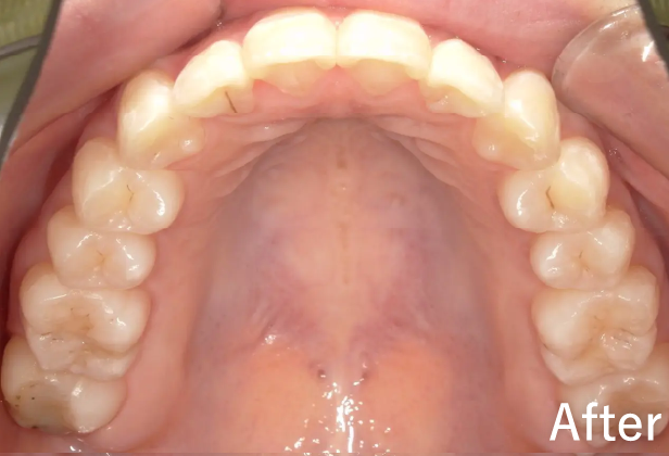
Case2

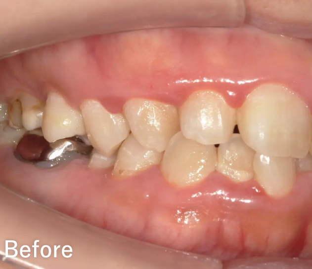
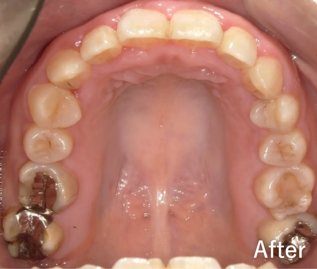
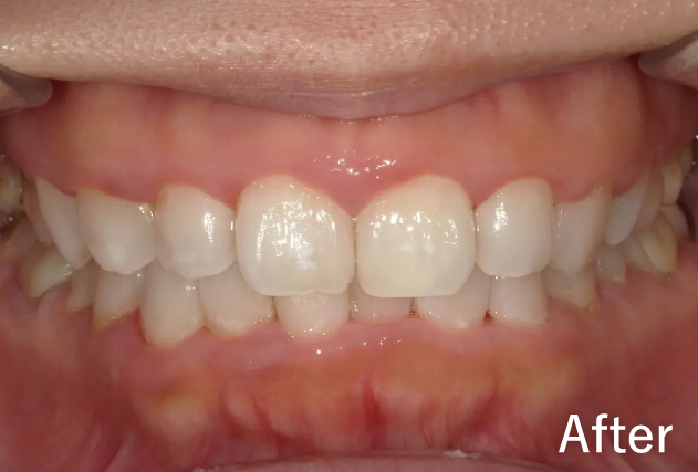
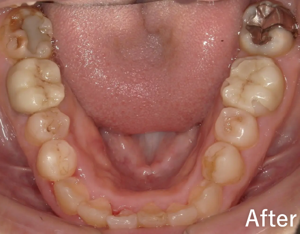
歯がデコボコ(叢生)

Before
After
*
*
*
*
*
*
*
*
*
*
*
*
患者情報
30代女性
治療期間
約7か月
治療費
682,000円(税込)
治療内容
マウスピース矯正(インビザラインGO)にて上下顎矯正治療後、下顎の見えやすい
銀歯をジルコニアにて、かぶせ物を入れ治療、最後にホワイトニングをしています。
リスクと副作用
マウスピースをしっかりつけないと、計画通りの結果にならないことがあります。
治療後リテーナーをつけないと、後戻りを起こします。

症例をもっと見る

*
01

矯正相談の予約

お電話またはWEB予約にてご予約頂きます。
ご予約の際に、マウスピース矯正の希望とお伝えください。歯並びについてお悩み、ご希望、マウスピース矯正のメリット・デメリットについてご説明します。

*
02

矯正相談

最初にご来院いただいた際は、お口の中を拝見し、歯並びやかみ合わせ、歯ぐきの状態などをチェックします。

必要に応じて、レントゲン撮影や口腔内写真の撮影も行い、より正確に診断できるようにしています。その上で、矯正治療が適しているかを判断し、治療の流れ・メリット・デメリットなどをわかりやすくご説明します。もし虫歯や歯周病などが見つかった場合は、矯正治療を始める前に、まずそちらの治療を優先して進めます。

*
03

歯型のスキャン・検査(精密検査)

検査では、専用の光学式口腔内スキャナー「iTero(アイテロ)」を使用して、お口の中をスキャンします。

このスキャンによって、従来の型取りとは異なり、粘土のような材料を使わずに歯型をデジタルで採取できます。歯並びやかみ合わせの状態を立体的に把握できるため、その後の治療計画もより精密に立てることができます。

*
04

治療開始

スキャンデータをもとに作製されたオーダーメイドのマウスピースは、約2〜3週間ほどで当院に届きます。届き次第、矯正治療をスタートできるようになります。治療を効果的に進めるために、1日20時間以上の装着時間をしっかりと守っていただくことが重要です。

また、マウスピースは原則1週間ごとに新しいものへ交換しながら、段階的に歯を動かしていきます。治療期間には個人差がありますが、多くの方が7〜8ヶ月ほどで治療を終えています。

*
05

定期検査

1ヶ月後に来院して頂き、予測通りに歯が移動しているかを確認します。その際、費用は一切かかりません。

※ 追加のアライナー等が必要になる場合は追加の費用がかかる場合があります。

*
06

保定期間(リテーナー)

矯正治療が完了した後は、リテーナー(保定装置)を装着して歯並びの安定を図ることが必要です。歯は動いた直後、不安定な状態にあるため、何も対策をしなければ、少しずつ元の位置に戻ってしまう可能性があります。

それを防ぐために、一定期間リテーナーを装着し、歯並びを安定させていきます。装着期間には個人差がありますが、少なくとも1〜2年は保定を続けることをおすすめしています。

検査代

検査費用、歯型スキャン

無料

基本治療

インビザラインGo®治療費 両顎

440,000円~ 484,000円(税込)~

インビザラインGo®治療費 片顎

340,000円~ 374,000円(税込)~

インビザラインGo Plus®治療費 両顎

540,000円~ 594,000円(税込)~

インビザラインGo Plus®治療費 片顎

440,000円~ 484,000円(税込)~

その他

リテーナー(保定装置)

15,000円~ 16,500円(税込)~

追加アライナー

40,000円~ 44,000円(税込)~

ホームホワイトニング併用

30,000円~ 33,000円(税込)~

治療名

インビザラインGo・インビザラインGo Plus

治療の説明

透明なマウスピース型の矯正装置を使用し、歯並びやかみ合わせを改善する治療法です。
従来の金属製の装置と異なり目立ちにくいため、見た目を気にする方にも適しています。治療は口腔内を3Dスキャンし、そのデータをもとに作製したアライナーを交換しながら歯を動かします。
1日の装着時間は20時間以上が推奨されています。

治療のリスクや
副作用

新しいアライナー装着時に一時的な痛みや違和感、
発音しづらさを感じることがあります。
また、まれに歯根吸収が起こることがあります。治療後は保定装置を指示通り装着しないと歯並びが元に戻る可能性があります。

矯正治療は医療費控除の対象となる
場合があります

医療費控除とは本人または本人と生計を共にする配偶者その他の親族の医療費を年間10万円以上(1月1日~12月31日)支払った場合に医療費控除が適用され、税金が還付または軽減される仕組みです。詳しくは国税庁のHPをご確認ください。
国税庁HP:https://www.nta.go.jp

まずは無料カウンセリング

24時間対応のネット予約はこちら

*

LINE矯正相談はこちら

*

お電話での予約はこちら

Q
A
Q
A
Q
A
Q
A
*

矯正治療を終えた患者さまが、晴れやかな笑顔で「やってよかった」と
話してくださる瞬間
は、私たちにとっても大きな喜びです。

歯並びが整うことで、見た目の変化はもちろんのこと、
気持ちの面でも前向きになられる方が多いと感じています。

矯正治療は、見た目だけでなく心も豊かにしてくれる治療だと、
日々の診療を通じて実感しています。

歯並びのことでお悩みの方は、ぜひ一度お気軽にご相談ください。
私たちがしっかりサポートいたします。

Tanaka Yoshihiro

院長

田中 義大

おごと温泉駅

  • 比叡山坂本駅から電車で3分
  • 堅田駅から電車で2分
  • 和邇駅から電車で8分
*

077-578-4618

診療時間
9:00 ~ 13:30
15:00 ~ 17:30

土曜 8:30-13:30 15:00-18:00 
休診日:木・日・祝日

ページのTOPへ

© Otsu Cuore Dental Clinic

まずは無料カウンセリング

24時間対応のネット予約はこちら

*

LINE矯正相談はこちら

*

お電話での予約はこちら

*
*
*
*