インプラント治療なら大津クオーレ歯科クリニック

ご予約・お問い合わせTEL.077-578-4618
*

WEB予約

MENU

インプラント治療なら大津クオーレ歯科クリニック

077-578-4618 予約フォームはこちら
* *
豊富な臨床経験を持つDrによるインプラント治療
年間150本以上(2023年実績)
手術成功率98.6%(2024年5月現在)
難症例も対応可能
全顎ケースも対応
10年保証
* *
*

院長紹介

*

田中 義大

Tanaka Yoshihiro

略歴・所属

資格・学位

歯科医師
厚生労働省 歯科医師臨床研修指導医

経歴

滋賀県大津市雄琴生まれ
北海道医療大学 卒業
医療法人緑和会 栗東グリーン歯科 院長
医療法人緑和会 瀬田グリーン歯科 院長

所属学会・研究会等

日本口腔インプラント学会
日本インプラント臨床研究会(CISJ)
日本歯科医師会 など

受講した研修・セミナー

日本口腔インプラント学会認定100時間講習
顎顔面矯正治療ベーシックコース
矯正の基礎臨床
ITI審美部におけるGBR&抜歯即時インプラント
押さえておきたい歯周再生のポイント
プレオルソベーシックセミナー
マスター!安全なソケットリフト・サイナスリフト
インビザラインGOドクター
ENA ハンズオンコース  など他多数

「もう少し様子を見よう」と思っている方へ

「今は痛みがないから大丈夫」
「まだ噛めているし、特に困っていない」

こうした理由で、抜けた歯やグラついている歯をそのままにしている方は少なくありません。私自身、歯科医師として多くの患者様と向き合う中で、こうしたケースにたびたび出会います。

ただ、「今は問題がないから」と様子を見ているうちに、治療の選択肢や難易度に影響が出てしまうことがあるのも事実です。
歯を失った状態が長く続くと、周囲の歯が傾いたり、噛み合わせが変化したりすることがあります。また、歯を支えていた骨が徐々に痩せていくと、インプラントを行う際に骨を補う処置(骨造成など)が必要になる場合があります。こうした処置は、治療期間や費用に影響を及ぼすことがあるため、結果として患者様のご負担が増える可能性もあります。

私たちはこれまでの診療経験を通じて、「もっと早くご相談いただけていれば、身体的・経済的な負担を抑えた治療計画が立てられたかもしれない」と感じる場面を数多く見てきました。だからこそ、「残すことが難しい歯」や「歯を失ったままの状態」がある方には、できるだけ早い段階でのご相談をおすすめしています

私自身は、勤務医時代に日本口腔インプラント学会指導医の先生のもとで研鑽を積み、これまで多くの症例に携わってまいりました。当院でも、2024年には年間150本(成功率98.6%)のインプラント治療を実施し、CTやガイドシステムなどの設備を活用して、患者様一人ひとりに合わせた治療計画を大切にしています。骨の状態や全身の健康状態を十分に確認したうえで、無理のない治療を心がけています。

この特設サイトでは、インプラント治療の概要や、当院での取り組みについてまとめています。少しでも皆さまの参考になれば幸いです。

そして今、このページをご覧いただいているのは、「このままでいいのだろうか」と気になったからかもしれません。どんな小さなご相談でも構いませんので、お気軽にご相談ください。

*
*

インプラント治療とは?

インプラント治療とは、歯を失った部分に人工の歯根(インプラント)を埋め込み、その上に人工歯を装着する治療法です。この治療法は、自然な見た目と機能を回復するための優れた方法として注目されています。

インプラント治療の大きな利点は、他の歯を削らずに済む点です。ブリッジ治療では、隣接する健康な歯を削る必要がありますが、インプラントは失った歯の部分にのみ影響を与えます。また、取り外し可能な入れ歯に比べて安定感があり、噛む力が自然の歯に近い形で伝わるため、食事の際の不快感も軽減されます。

*
*

失った歯の治療 比較表

*

インプラント

*

ブリッジ

*

義歯(入れ歯)

特徴
ブリッジや入れ歯と違い、隣り合う歯に負担をかけないので適切なメンテナンスを行えば、10年以上長持ちする。
隣り合う健康な歯を2本以上削らなければならない。歯は削れば削るほど脆く弱くなってしまう。
他の歯を削る場合がある。
食物が挟まって、不衛生になる場合がある。
保険治療の場合、完成後も調整が何度も必要になることがある。
メリット
自分の歯と同じような感覚で噛むことができる
周囲の歯に負担をかけない
見た目が天然の歯に近い
比較的短期間で、保険診療だと比較的安価に治療できる。
被せ物は、固定されるので比較的違和感が少ない。
比較的短期間で、保険診療だと安価に治療できる。
歯が全てなくても製作できる。
デメリット
保険が適用されない
手術が必要
被せ物がつながっているため、清掃が難しくなる。
残っている歯が少ないとできない場合がある。
噛み心地に違和感がでたり、発音がしづらくなったりする。
取り外ししないといけない。
金属の留め具が見えるので見た目が悪い。
治療期間
2カ月~半年
1ヶ月~3ヶ月
1ヶ月~3ヶ月

大津クオーレ歯科クリニックの
インプラント治療が

選ばれる理由

難症例にも対応可能

インプラント治療には様々なケースがありますが、当院では「難症例」にも対応できる高度な技術と設備を備えています。例えば、「前歯のインプラント」では、笑顔や会話時に最も目立つ部分であり、自然な美しさを再現しつつ、機能性を両立させることが求められるため難易度が高いです。先端技術の検査機器を駆使しながら、緻密な治療計画を立て、患者様一人ひとりのお口の状態に合わせてアプローチをしています。治療期間の短縮や自然な見た目を早期に回復したいという方には、抜歯と同時にインプラントを埋入する「抜歯即時埋入」の技術を活用した治療を行っています。お口の状態によって治療を行える方は限られますが、ご希望の方は気軽にご相談ください。

また、上顎の奥歯は上顎洞という空洞があり、その空洞のために骨が薄く通常のインプラント埋入が困難な方がいます。そういった骨が薄い患者様にも、「ソケットリフト」「サイナスリフト」手術を行い、インプラントの骨造成を行い、安定性を確保しています。これにより、骨の不足によるインプラントの困難さを解消しています。

加えて、当院では複数の歯を失った場合でも対応できるインプラント治療を導入しています。一つは、「インプラントオーバーデンチャー」という方法です。複数の歯を失った場合でも、取り外し可能な義歯をインプラントで固定することで、安定感と快適さを提供します。特に噛む力が強く、長期間にわたって使用可能なこの方法は、多くの患者様に好評です。

もう一つは、「All-On-4/6(オールオンフォー/オールオンシックス)」といった先進的な治療法も導入しています。これは、全ての歯を失った場合でも、わずか4本または6本のインプラントで全ての歯を支えることができる画期的な方法です。治療時間の短縮、費用の削減、そして患者様の快適さを考慮したこの治療法は、大津市内だけでなく、大津市外の患者様も治療に来られます。これらの高度な技術と豊富な経験を活かし、あらゆる難症例に対応可能です。

All-On-4/6(オールオンフォー/
オールオンシックス)詳しくはこちら

*

豊富な臨床経験

年間150本以上のインプラント埋入をコンスタントに行っています。開業後の当院での手術成功率は98.6%となります(2024年7月末現在)。
一概に比較はできませんが、インプラントの10年生存率が約90%以上と言われている中での臨床成績としては比較的良い傾向と考えています。

*

世界トップシェアの
インプラント使用

世界トップシェアを誇るストローマン社(スイス製)のインプラントを採用しています。ストローマン社は、臨床研究に基づく豊富なデータを持ち、その信頼性が高く評価されています。特に、ストローマンインプラントは、迅速かつ強固なオステオインテグレーション(骨とインプラントの結合)が期待でき、長期的な使用においても定評があります。この信頼性と実績を持つストローマン社のインプラントを使用することで、患者様に安心して治療を受けていただけるよう努めています

*

先端医療機器の導入

当院では、歯科用CT(Computed Tomography: コンピュータ断層診断装置)をはじめ、手術中の患者様の体調を細かく監視するモニタリング機器(生体モニター)を導入しています。さらに、患者様への負担を軽減するインプラント埋入機器、電動麻酔注射器や電気メスも設備し、術中の痛みや出血を最小限に抑えることを心がけています。これらの先進的な医療機器を駆使し、インプラント治療を提供しています。

*

10年保証

当院では、信頼性の高いガイドデント社の保証制度を導入しており、インプラントの長期的な使用と満足度を高めております。
ガイドデント社の保証制度は、万が一のトラブルが発生した場合でも、迅速で誠実な対応をし、保証期間内にインプラントに問題が生じた際には、再治療や修復を無償または一部の費用負担で提供いたします(選択されるプランに応じて期間や料金が異なります)。この制度を活用し、インプラント治療を選択されている方も少なくありません。
※こちらの保証制度は有償になります。

詳しくはこちら

*

確実な手術のために

口腔内の状況に応じて、「ガイドサージェリー」を導入しています。「ガイドサージェリー」は、歯科用CTで撮影した3Dデータをもとに、インプラントの埋入位置、方向、深さを詳細にシミュレーションした上で「サージカルガイドプレート」を作成し、このプレートを使用して、最適な位置にインプラントを埋入する手術です。この手法により、複数のインプラント埋入が必要な手術等での精度が向上し、リスクを抑えることが可能です。

*

徹底した滅菌対応、手術環境整備

手術に使用する全ての治療器具や手術環境は、日本歯科医学会 歯科インプラント治療指針に則った滅菌対応、手術環境整備をしています。患者様の健康と安心を最優先に考えた治療を提供しています。

*
*

症例実績

  • CASE 1

    Before

    *

    After

    *
    患者情報
    30代男性
    治療期間
    約4カ月
    総治療費
    1,034,000円(税込)
    治療内容
    交通事故により、前歯を喪失したため、インプラントを用いて修復した。インプラント埋入と同時にCTG(結合組織移植)を行った。
    リスクと副作用
    外科手術により、術後数日間、腫脹や疼痛を伴うことがある。 
  • CASE 2

    Before

    *

    After

    *
    患者情報
    40代女性
    治療期間
    約2カ月
    総治療費
    440,000円(税込
    治療内容
    右下の乳歯を抜歯し、1本インプラントを埋入
    リスクと副作用
    外科手術により、術後数日間、腫脹や疼痛を伴うことがある。 
  • CASE 3

    Before

    *

    After

    *
    患者情報
    50代女性
    治療期間
    約8カ月
    総治療費
    2,848,000円(税込)
    治療内容
    右下に2本インプラント埋入を行いインプラントブリッジにて治療。下顎前歯部以外はすべてジルコニアにて虫歯治療を行っています。
    リスクと副作用
    外科手術により、術後数日間、腫脹や疼痛を伴うことがある。 
  • CASE 4

    Before

    *

    After

    *
    患者情報
    40代女性
    治療期間
    約3カ月
    総治療費
    3,069,000円(税込)
    治療内容
    右下に2本、左下に1本インプラント埋入を行っています。上顎は、ほぼすべての歯をジルコニアブリッジにて虫歯治療を行っています。
    リスクと副作用
    外科手術により、術後数日間、腫脹や疼痛を伴うことがある。 
  • CASE 5

    Before

    *

    After

    *
    患者情報
    40代男性
    治療期間
    約6カ月
    総治療費
    4,100,000円(税込)
    治療内容
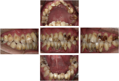
    重度の虫歯と歯列不正、歯周病があり、すべての歯を抜歯し、上顎はインプラントを6本入れ、ALL ON6、下顎はインプラントを2本入れ、インプラントオーバーデンチャーにして治療しています。
    リスクと副作用
    外科手術により、術後数日間、腫脹や疼痛を伴うことがある。 

もっと多くの症例を見たい方はこちら

セカンドオピニオン承ります

当院では、他院様での診断に関して”第二の意見”を聞いてみたいという方(セカンドオピニオン)のご予約を承っております。

歯を抜かなければならないと言われたけど、本当?
今の治療方法以外に選択肢がないのか話を聞いてみたい
インプラントが出来ないと言われたけど、入れ歯にはしたくない

上記のようなお悩みがある方はお気軽にご相談ください。

お電話またはWEBより
ご予約いただけます

TEL. 077-578-4618
* 予約フォームはこちら

インプラント治療の流れ

*

相談・検査

検査器具やレントゲン、CTで、歯やあごの骨の状態を調べます。

*
*

治療計画の説明

歯やあごの骨など、お口がどんな状態なのかをご説明し、治療計画をご案内します。

*
*

手術

インプラント本体をあごの骨に埋め込みます。

*
*

人工の歯を装着

インプラント本体の上に人工の歯を装着します。

*
*

メインテナンス

インプラントを長持ちさせるために、定期検診や歯のクリーニングを受けることをおすすめします。

*

費用一覧

CT撮影・
簡易シミュレーション
無料
インプラント埋入手術
250,000円
(税込275,000円)~
上部構造(インプラントの被せ物)
・セラミックジルコニア
150,000円
(税込165,000円)〜
・オールジルコニア
130,000円
(税込143,000円)〜
オプション
骨造成・GBR
50,000円
(税込55,000円)~
・ソケットリフト
50,000円
(税込55,000円)~
・サイナスリフト
200,000円
(税込220,000円)〜
ガイドオペ
50,000円
(税込55,000円)~
インプラント10年保証(1本)
20,000円
(税込22,000円)~
入れ歯用インプラント
・インプラントロケーターシステム 1装置
50,000円
(税込55,000円)
・インプラントマグネットシステム 1装置
60,000円
(税込66,000円)
全顎インプラント
All-on-4
2,600,000円
(税込2,860,000円)~
治療名:インプラント治療
治療の説明:失われた歯のあごの骨にチタン製の人工歯根を埋め込み、その上に人工の歯(かぶせもの)をつける治療法です。
治療のリスクや副作用:手術後に、痛みや腫れ、出血、合併症などを引き起こす可能性があります。噛む感覚がご自身の歯と異なる場合があります。
見た目がご自身の歯と異なる場合があります。手術後にメインテナンスを継続しないと、インプラントが抜け落ちる可能性があります。
*

支払い方法

当院では、「現金」「クレジットカード」
「デンタルローン」の3種類の中から
お支払い方法を選択できます。

*

現金

*

クレジット
カード
(Visa、master
のみ)

*

デンタル
ローン
(最大84回払い
年利3.9%)

医療費控除について

医療費控除は、1年間の医療費が合計で10万円以上になった場合、所得に応じて税金が還付される制度です。インプラント治療もこの医療費控除の対象となることがあります。控除を受けるためには、申請が必要です。医療費控除額の計算方法は以下の通りです。

医療費控除額の計算式(その年の総所得金額等が200万円以上の場合):
医療費控除額 = 1年間で支払った医療費の合計金額(控除対象分)- 保険金などで補填された金額 - 10万円
※総所得が200万円未満の方は、「10万円」の代わりに「総所得×5%」を差し引きます。
※医療費控除額の上限は200万円です。

この制度を活用し、インプラント治療の費用負担を軽減することができます。ご自身の治療が適応になるかどうかは詳しくはお近くの国税局にご確認ください。

国税局関連サイト

お電話またはWEBより
ご予約いただけます

TEL. 077-578-4618
* 予約フォームはこちら

多数の口コミを頂いています!

Google口コミ

インプラント治療の総合専門サイト口コミ